Casi clinici

"Non riesco più a mangiare un panino"
Caso clinico di riabilitazione orale protesica su denti naturali e su impianti con 30 anni di follow-up


"Vorrei correggere i miei denti"
Caso clinico ortodontico-chirurgico di III classe con affollamento superiore controllato per 29 anni


"Ho ancora i miei denti"
Caso clinico complesso parodontale-ortodontico-protesico con 31 anni di follow-up


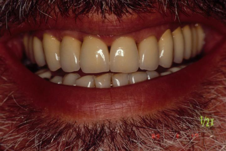
"Finalmente posso sorridere"
Caso clinico di protesi su denti naturali e impianti con 28 anni di osservazione clinica


"Non vorrei una protesi mobile"
Caso clinico complesso trattato con terapie di endodonzia, ortodonzia, implantologia e protesi fissa


"Avevo paura del dentista"
Trattamento chirurgico per grave lesione cistica e riabilitazione protesica con 31 anni di follow-up


"Mi sono dimenticata del dentista"
28 anni di benessere dentale dopo riabilitazione protesica dell'arcata superiore in paziente con problemi parodontali

"Ho perso un dente davanti"
Perdita per trauma di un incisivo centrale e sostituzione mediante impianto con 29 anni di follow-up


"Non ho più avuto problemi ai denti"
Caso clinico di riabilitazione protesica fissa delle arcate superiore e inferiore in paziente adulta con 24 anni di follow-up
"Vorrei migliorare le mie protesi"
Rifacimento di protesi fissa su denti naturali per motivi estetici e parodontali con intasamento alimentare tra 16 e 15


"Avrei bisogno del dentista"
Riabilitazione protesica dell'arcata superiore previo trattamento ortodontico e ponte nell'arcata inferiore


"Mi si consumano i denti"
Caso clinico di riabilitazione protesica fissa di entrambe le arcate in paziente con usure dentali


"Non sono più andata dal dentista"
Caso clinico di riabilitazione protesica su denti naturali ed impianti con 25 anni di follow-up
"Ho perso un canino da latte"
Caso clinico ortodontico con agenesia dei premolari e loro sostituzione con protesi su impianti


"Vorrei sistemare la mia bocca"
Il paziente chiede una riabilitazione orale lamentando insoddisfazione per le precedenti cure


"Non vorrei perdere il mio incisivo"
Caso clinico di riassorbimento radicolare su 11 con 13 anni di follow-up e rifacimento corona di protesi
STUDIO MEDICO DENTISTICO DR. MONTANARI FRANCESCO